Terapia ortodontica nel paziente adulto
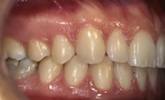
Terapia ortodontica - Prima (FIG 1)

Terapia ortodontica - Prima (FIG 2)

Terapia ortodontica - Prima (FIG 3)

Terapia ortodontica - Prima (FIG 4)

Paziente M.M., di anni 23, presenta una sovrapposizione dell’incisivo laterale e del canino superiori di sinistra. Il canino è situato sul lato palatale mentre l’incisivo sul lato vestibolare e a causa della malocclusione viene spinto verso l’esterno perdendo supporto osseo.
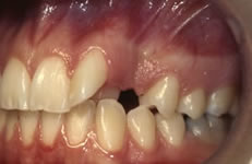
Terapia ortodontica - Dopo (FIG 6)

Terapia ortodontica - Dopo (FIG 7)

Terapia ortodontica - Dopo (FIG 8)

Terapia ortodontica - Dopo (FIG 9)

Al termine della terapia ortodontica, ripristinato lo spazio necessario per portare in arcata il canino, corretto l’allineamento dentale e i rapporti occlusali, la mandibola risulta centrata. E’ di fondamentale importanza correggere le deviazioni funzionali della mandibola quando il paziente è in crescita perchè non si sono ancora verificate alterazioni strutturali irreversibili e la muscolatura ha la capacità di adattarsi alla nuova condizione.
Dr. Deliperi’s teaching
Hands-on Courses on Biomimetic restorative Dentistry