Esempio di Terapia Adolescente
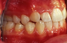
Terapia ortodontica - Prima (FIG 1)

Terapia ortodontica - Prima (FIG 2)

Terapia ortodontica - Prima (FIG 3)

Terapia ortodontica - Prima (FIG 4)

La paziente S.A., di anni 12, presenta morso crociato posteriore monolaterale (fig. 1) dovuto a deviazione della mandibola verso destra in fase chiusura , pertanto le linee interincisive risultano non coincidenti (fig. 2). Si rileva inoltre l’assenza in arcata del canino superiore di sinistra ( incluso) e carenza di spazio per lo stesso (fig. 3 e 4).
Terapia ortodontica - Dopo (FIG 5)

Terapia ortodontica - Dopo (FIG 6)

Terapia ortodontica - Dopo (FIG 7)

Terapia ortodontica - Dopo (FIG 8)

Al termine della terapia ortodontica, ripristinato lo spazio necessario per portare in arcata il canino, corretto l’allineamento dentale e i rapporti occlusali, la mandibola risulta centrata. E’ di fondamentale importanza correggere le deviazioni funzionali della mandibola quando il paziente è in crescita perchè non si sono ancora verificate alterazioni strutturali irreversibili e la muscolatura ha la capacità di adattarsi alla nuova condizione.
Dr. Deliperi’s teaching
Hands-on Courses on Biomimetic restorative Dentistry