Terapia ortodontica nel paziente Adolescente
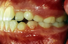
Terapia ortodontica - Prima (FIG 1)

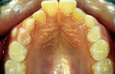
Terapia ortodontica - Prima (FIG 2)

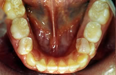
Terapia ortodontica - Prima (FIG 3)

Terapia ortodontica - Prima (FIG 4)

Terapia ortodontica - Prima (FIG 5)

Paziente V.P., di anni 13, in dentizione mista mostra disallineamento dentale e ritardo nella permuta dentale.
Terapia ortodontica - Dopo (FIG 6)

Terapia ortodontica - Dopo (FIG 7)

Terapia ortodontica - Dopo (FIG 8)

Terapia ortodontica - Dopo (FIG 9)

Terapia ortodontica - Dopo (FIG 10)

Paziente al termine della terapia ortodontica. Durante il trattamento è stato necessario eseguire estrazioni programmate dei denti decidui per accelerare l’eruzione dei corrispondenti denti permanenti e favorirne uno spontaneo allineamento in arcat.
Dr. Deliperi’s teaching
Hands-on Courses on Biomimetic restorative Dentistry