Tooth whitening - devital teeth

You are here: Home/Treatments/Tooth whitening/Tooth whitening - devital teeth

Tooth whitening - devital teeth

Information Request

Extensive restorations

In the recent past, discolored devital teeth were often covered with a crown to hide the staining. Unfortunately, this happened even for teeth maintaining the major portion of their structure. However, this procedure necessitates the removal of sound remaining tooth structure and it is more expensive for the patient.

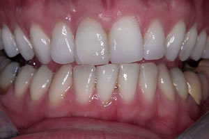
Dr Deliperi has published clinical protocols for the reconstruction of devital and bleached teeth with tooth-colored resin composite fillings on peer reviewed journals. This protocol is appropriate even for severely compromised teeth that require extensive restorations. Extensive restoration are very complex restorations because they replace the major part of the tooth crown due to deep decay processes, fracture of the tooth or fracture of both the tooth and the existing restoration. The results of this conservative technique were presented in the most important dental research meetings both in Europe and in the United States. The advantages of a similar approach are multiple: preservation of sound tooth structure, just one visit to complete the restoration, chromatic and anatomic integration with residual tooth and reduced fee for the patient.

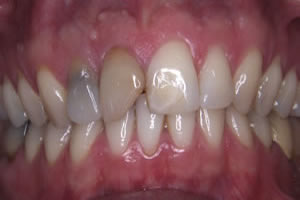
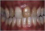
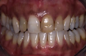
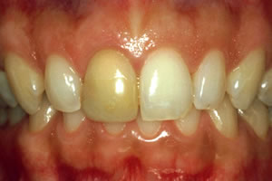
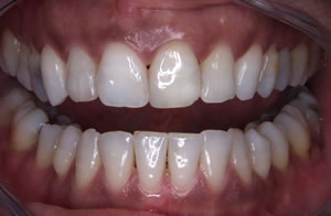
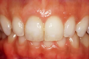
Click on thumbnail to see 'before' and 'after'


Case 1


Case 2


Case 3

Tooth whitening - devital teeth I
Read Information pdf

Tooth whitening - devital teeth II
Read Information pdf

Orlando 2006 Video

Dr. Deliperi’s teaching
Hands-on Courses on Biomimetic restorative Dentistry

visit the web site